Ready to restore your smile with dental crowns in Orange County? Schedule your consultation today with our expert team at Orange County Premier Dental. Let us help you achieve a healthier, more confident smile!
Dental Crowns Orange County
Get durable, custom dental crowns in Orange County. Restore your smile with expert care and quality materials at affordable prices. Book your consultation today and smile confidently!
Restore Your Smile With Dental Crowns in Orange County!
When a tooth breaks or just does not look the same anymore, it’s easy for you to feel self-conscious every time you smile. But a dental crown can fix that and make sure it lasts you for a long time.
At Orange County Premier Dental, we design crowns that don’t just restore your teeth, we restore you.
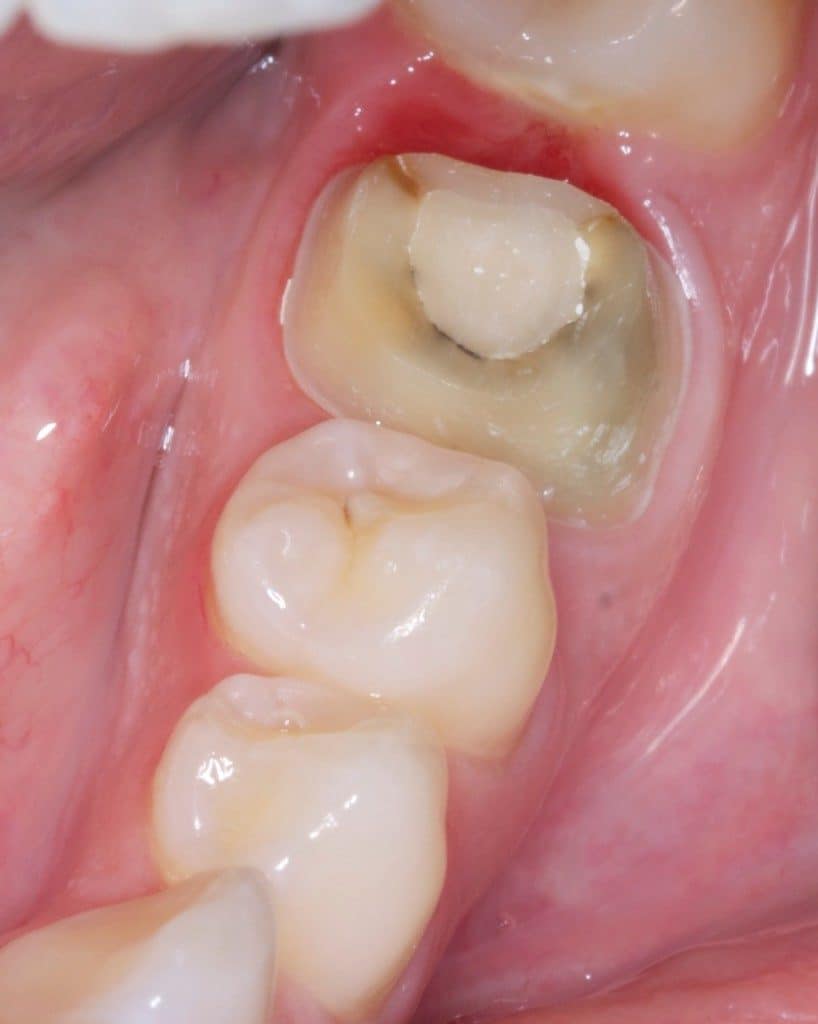
What Is a Dental Crown?
Think of a crown like a shield for your tooth.
A dental crown is a “cap” that is custom-made for your tooth. It fits snugly over a damaged or weak tooth, protecting it from further damage while restoring its shape, strength, and natural look.
A dental crown can make it look and feel brand new again. It does not matter if you cracked while biting onto something hard or your tooth is worn out and discoloured.

When You Might Need A Crown
- Your tooth has a huge filling to be done, or it is rotting
- You’ve had a root canal and need to protect the tooth
- Your tooth is cracked or chipped, making it sensitive or painful
- You want to fix a tooth that does not match the rest of your smile
A lot of people wait too long (until it hurts) to get care, and then they have to deal with discomfort, shame, or sensitivity. But as soon as the crown is on, the relaxation and confidence are amazing, and right away.


The Crown Process: Simple, Gentle, and Precise
- Step 1: Consultation and Exam
We start by assessing your tooth with digital X-rays and gentle probing. You’ll understand exactly what’s happening to your teeth, and how the procedure will go like. - Step 2: Custom Design
We will take a precise digital impression (3D digital scan) so we can use it to create a crown that fits perfectly and matches your tooth color. - Step 3: Placement and Finishing
Once your crown is ready, we’ll put it on, polish it until it blends in with your other natural teeth. You’ll leave the office feeling like nothing ever happened, except a brand new smile.
Why Choose Us for Dental Crowns in Orange County?
At Orange County Premier Dental, we offer high-quality, custom-made dental crowns designed for durability and comfort. Our experienced team uses advanced technology and gentle techniques to ensure a precise fit and natural look. With a focus on patient care and satisfaction, we aim to restore your smile and confidence in a stress-free environment. Trust us to deliver exceptional results for your dental crown needs in Orange County!

Restore Your Smile - Book Your Consultation Today!
Frequently Asked Questions
How long do dental crowns last?
With regular care, crowns often last 10–15 years or more. Daily brushing, flossing, and routine checkups can help them last even longer.
Will it hurt to get a crown?
Not at all. The procedure is done under local anesthesia, and most patients say it’s more comfortable than they expected.
What type of crowns do you offer?
We use porcelain, ceramic, zirconia, and metal-fused crowns depending on your needs. Porcelain and zirconia are popular for their natural look.
Can a crown improve my smile’s appearance?
Absolutely. Crowns don’t just protect teeth, they can also reshape and brighten your smile for a more balanced, natural look.
Revive damaged teeth with beautiful dental crowns in Orange County: Book Now!
Located in Orange, CA
At Orange Premier Dental, we want you to feel at ease. Our team strives to build trust and familiarity with every patient, providing quality care and personal attention for better outcomes.
- Monday (9AM - 6PM)
- Tuesday (9AM - 6PM)
- Wednesday (8AM-5PM)
- Thursday (9AM - 6PM)
- Friday (8AM-2PM)
- Saturday (Closed)
- Sunday (Closed)
We take lunch from 1PM-2PM on Monday, Tuesday, and Thursday




